নিউক্লিয়াস এর ধারণা জকের আলোচনা বিষয় |The nucleus, its location, structure, components, properties and functions of these components are here in detail.নিউক্লিয়াস (Nucleus) ক্লাসটি বেসিক এনাটমি এন্ড ফিজিওলজি (Basic Anatomy and Physiology) কোর্সের অংশ | বেসিক এনাটমি এন্ড ফিজিওলজি (Basic Anatomy and Physiology) কোর্সের প্রায় সকল ক্লাস “গুরুকুল মেডিকেল এডুকেশন (Gurukul Medical Education)” চ্যানেলে রাখা হয়েছে, বাংলাদেশের “স্বাস্থ্য শিক্ষা (Medical Education)” খাতের উচ্চ মাধ্যমিক স্তরের শিক্ষার্থীদের জন্য।
নিউক্লিয়াস এর ধারণা
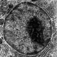
নিউক্লিয়াস (ইংরেজি: Cell Nucleus) বা কেন্দ্রিকা হল প্রোটোপ্লাজমের সবচেয়ে ঘন, পর্দাঘেরা এবং প্রায় গোলাকার অংশ।যা কোষের সব জৈবনিক ক্রিয়া বিক্রিয়া নিয়ন্ত্রণ করে তাকে বলা হয় নিউক্লিয়াস ৷ রবার্ট ব্রাউন(Robert Brown) সর্বপ্রথম ১৮৩১ সালে কোষে নিউক্লিয়াস দেখতে পান এবং এর নামকরণ করেন।তিনিই এটি আবিষ্কার করেন সর্বপ্রথম। এটি ৪ টি অংশে বিভক্ত।
কোষ জীববিজ্ঞানে, নিউক্লিয়াস (নিউক্লিয়াস; ল্যাটিন নিউক্লিয়াস বা নিউকিউলিয়াস থেকে যার অর্থ বীজ) হল ইউক্যারিওটিক অর্থাৎ প্রকৃতকোষে পাওয়া একটি ঝিল্লি-আবদ্ধ অঙ্গাণু। প্রকৃতকোষে সাধারণত একটি একক নিউক্লিয়াস থাকে। তবে কোষের ধরন অনুসারে,যেমন স্তন্যপায়ীর লাল রক্তকণিকা(লোহিত রক্তকণিকা)-র কোনো নিউক্লিয়াস থাকে না আবার অস্টিওক্লাস্ট সহ আরও কয়েক ধরনের কোষ বহুনিউক্লিয়াসবিশিষ্ট হয়ে থাকে।
নিউক্লিয়াস তৈরির প্রধান কাঠামো হলো এর বহিঃপর্দা, এটি মুলত একটি দ্বিস্তরী মেমব্রেন বা পর্দা যা সমগ্র নিউক্লিয়াসটিকে ঘিরে রাখে এবং কোষীয় সাইটোপ্লাজম থেকে এর বিষয়বস্তুকে বিচ্ছিন্ন করে। এবং নিউক্লিয়ার ম্যাট্রিক্স অর্থাৎ মাতৃকা (যার মধ্যে নিউক্লিয়ার উপাদানসমূহ রয়েছে) ও সাইটোপ্লাজমের মধ্যে একটি নেটওয়ার্ক হিসেবে কাজ করে। যা নিউক্লিয়াসকে যান্ত্রিক সমর্থনদেয়। নিউক্লিয়াসই সম্পূর্ণ কোষের কার্যাবলী নিয়ন্ত্রণ করে,তাই একে বলা হয় কোষের মস্তিষ্ক। নিউক্লিয়াসের অন্যতম কাজ বংশগতীয় বস্তু বহন করা।

ডিম্বাকার, নলাকার, উপবৃত্তাকার, প্যাঁচানো থালার মত এবং শাখান্বিত হতে পারে ৷ রাসায়নিকভাবে নিউক্লিয়াস মূলত প্রোটিন ও নিউক্লিক এসিড দ্বারা গঠিত। এতে অন্যান্য উপাদানও থাকে। যেমনঃ প্রোটিন (Protein), আরএনএ(RNA), ডিএনএ(DNA) । সিভকোষ বা লোহিত রক্তকণিকায় নিউক্লিয়াস থাকে না৷[১] নিউক্লিয়াসে বংশগতির বৈশিষ্ট্য নিহিত ৷ এটি কোষে সংঘটিত বিপাকীয় কার্যাবলিসহ সব ক্রিয়া-বিক্রিয়া নিয়ন্ত্রণ করে ৷ সুগঠিত নিউক্লিয়াসে নিচের অংশগুলো দেখা যায়:
নিউক্লিয়ার ঝিল্লি বা নিউক্লিও পর্দা
নিউক্লিয়াস কে ঘিরে রাখে যে ঝিল্লি তাকে নিউক্লিয়ার ঝিল্লি বলে ৷ এটি দ্বিস্তরবিশিষ্ট ঝিল্লি ৷ এ ঝিল্লি লিপিড ও প্রোটিন এর সমন্বয়ে গঠিত ৷ এ ঝিল্লীতে মাঝে মাঝে কিছু ছিদ্র থাকে, একে নিউক্লিয়ার রন্ধ্র / parinuclias pace বলে ৷ এই ছিদ্রের মাধ্যমে কেন্দ্রিকা ও সাইটোপ্লাজম এর মধ্যে কিছু বস্তু চলাচল করে ৷ এই ঝিল্লী সাইটোপ্লাজম থেকে কেন্দ্রিকার অন্যান্য বস্তুকে পৃথক করে ও বিভিন্ন বস্তুর চলাচল নিয়ন্ত্রণ করে ৷

নিউক্লিয়ার ঝিল্লি বা নিউক্লিও পর্দা এর কাজ
নিউক্লিয়াসকে রক্ষণাবক্ষেণ করা এর প্রধান কাজ। এছাড়াও অভ্যন্তরীণ অঙ্গাণুগুলোকে সাইটোপ্লাজম থেকে পৃথক করে রাখে।
নিউক্লিওপ্লাজম
কেন্দ্রিকা ঝিল্লির অভ্যন্তরে জেলির ন্যায় বস্তু বা রসকে কেন্দ্রিকারস বা নিউক্লিওপ্লাজম বলে ৷ কেন্দ্রিকা রসে নিউক্লিক অ্যাসিড , প্রোটিন , উৎসেচক, আরএনএ,বিভিন্ন এনজাইম, (ডিএনএ পলিমারেজ, আরএনএ পলিমারেজ, নিউক্লিওটাইড ট্রাইফসফাটেজ, নিউক্লিওসাইড ফসফোরাইলেজ, কাইS নেজ, ডিহাইড্রোজিনেজ, এন্ডোনিউক্লয়েজ), আরএনপি দানা, অল্প পরিমাণে লিপিড ও কতিপয় খনিজ লবণ থাকে ৷
নিউক্লিওপ্লাজম এর কাজ
এখানে নিউক্লিওলাস ও ক্রোমাটিন তন্তু অবস্থান করে। নিউক্লিওপ্লাজমে নিউক্লিক এসিড, প্রোটিন উৎসেচক ও কতিপয় খনিজ লবণ থাকে। নিউক্লিওপ্লাজম নিউক্লিয়াসের রসস্ফীতি অবস্থা বজায় রাখা ও নিউক্লিয়াসের বিভিন্ন কাজে সহায়তা করা।
নিউক্লিওলাস
নিউক্লিয়াস বা কেন্দ্রিকার মধ্যে ক্রোমোজম এর সাথে লাগানো গোলাকার বস্তুকে নিউক্লিওলাস বা কেন্দ্রিকাণু বলে ৷১৭৮১ সালে বিজ্ঞানী ফনটানা(Fontana) সর্বপ্রথম নিউক্লিওলাস আবিষ্কার করেন। ক্রোমোজোমের রঙঅগ্রাহী অংশের সাথে এরা লেগে থাকে ৷ এরা RNA ও প্রোটিন দ্বারা গঠিত ৷ এরা নিউক্লিক অ্যাসিড মজুত করে ও প্রোটিন সংশ্লেষণ করে ৷ ক্রোমোজোমের যে স্থানে নিউক্লিওলাস সংযুক্ত থাকে তাকে বলা হয় SAT বা স্যাটেলাইট।

ক্রোমাটিন জালিকা বা নিউক্লিও জালিকা
কোষের বিশ্রামকালে কেন্দ্রিকায় কুন্ডলী পাকানো সূক্ষ্ম সুতার ন্যায় অংশই হল ক্রোমাটিন জালিকা অথবা নিউক্লিয়ার রেটিকুলাম ৷ কোষ বিভাজনের সময় এরা মোটা ও খাড়া হয়।বংশের বৈশিষ্ট্য বংশপরম্পরায়বহন করা ক্রোমোজোমের কাজ।
নিউক্লিয়াস এর ধারণা নিয়ে বিস্তারিত :
আরও দেখুনঃ
